トップページ 技工 CAD/CAM 会社案内 リクルート ギャラリー スタッフブログ

技工

デンチャー
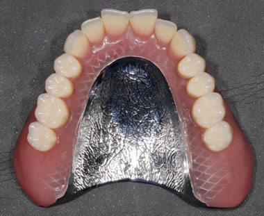
MP
義歯床の一部を金属で製作した義歯
 

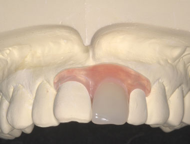
ノンクラスプデンチャー
金属クラスプを使わない義歯
 





アセタール
Vitaシェードに合わせた歯冠色クラスプ
 

レーザー溶接
金属の一部を直接融解して接合
 





go top
トップ 技工 CAD/CAM 会社案内 リクルート サイト・プライバシーポリシー サイトマップ お問い合わせ
株式会社浅井歯科技研